Zum Hauptinhalt springen
Dr. Jessica Zenner & Kolleginnen

Kinderzahnärztinnen

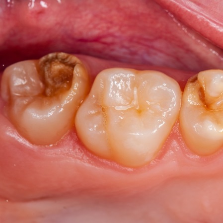
Hypoplastische Zähne (MIH, Kreidezähne)

Die Karies im bleibenden Gebiß ist bei Kindern seit vielen Jahren rückläufig, Leider nehmen dafür Schmelzbildungsstörungen, sogenannte Hypoplasien an den ersten bleibenden Backenzähnen und den Schneidezähnen immer weiter zu.

Da die Ursachen trotz intensiver Forschung unbekannt sind und es daher keine Möglichkeit gibt, der Entstehung von Hypoplasien vorzubeugen, sind wirksame Therapien erforderlich. Je nach Ausprägung der Hypoplasie beraten wir Sie individuell zu den bestehenden Prophylaxe- und Behandlungsmöglichkeiten. Zu unserem Behandlungsspektrum zählen:

  • Fluoridierung
  • Versiegelung
  • Füllungstherapie und Überkronung von hypoplastischen Zähnen
  • Extraktionstherapie in Absprache mit dem Kieferorthopäden

Worin unterscheiden sich MIH-Zähne von gesunden Zähnen?

Bin ich verantwortlich für die Kreidezähne meines Kindes?

Welche Ursachen hat MIH?

Kann mein Kind seine Kreidezähne alleine putzen?

Mein Kind hat Schmerzen an den Kreidezähnen, was kann man dagegen machen?

Was ist bei einer Behandlung von Kreidezähnen zu beachten?

Mein Kind hat Flecken auf den Schneidezähnen - was kann man machen?

Dr. Jessica Zenner & Kolleginnen


E 2 1-3
68159 Mannheim

Telefon: 0621-1786302
Telefax: 0621-1786313

info@dr-zenner.de

Sprechzeiten

Montag bis Donnerstag:

9:00 - 12:00 Uhr
12:45 - 17:30 Uhr
in den Schulferien von 8:00 bis 17:00
Freitag:
8:00 - 13:00 Uhr sowie nachmittags nach Vereinbarung
Samstag:
Privatsprechstunde nach Vereinbarung